النبات
مواضيع عامة في علم النبات
الجذور - السيقان - الأوراق
النباتات الوعائية واللاوعائية
البذور (مغطاة البذور - عاريات البذور)
الطحالب
النباتات الطبية
الحيوان
مواضيع عامة في علم الحيوان
علم التشريح
التنوع الإحيائي
البايلوجيا الخلوية
الأحياء المجهرية
البكتيريا
الفطريات
الطفيليات
الفايروسات
علم الأمراض
الاورام
الامراض الوراثية
الامراض المناعية
الامراض المدارية
اضطرابات الدورة الدموية
مواضيع عامة في علم الامراض
الحشرات
التقانة الإحيائية
مواضيع عامة في التقانة الإحيائية
التقنية الحيوية المكروبية
التقنية الحيوية والميكروبات
الفعاليات الحيوية
وراثة الاحياء المجهرية
تصنيف الاحياء المجهرية
الاحياء المجهرية في الطبيعة
أيض الاجهاد
التقنية الحيوية والبيئة
التقنية الحيوية والطب
التقنية الحيوية والزراعة
التقنية الحيوية والصناعة
التقنية الحيوية والطاقة
البحار والطحالب الصغيرة
عزل البروتين
هندسة الجينات
التقنية الحياتية النانوية
مفاهيم التقنية الحيوية النانوية
التراكيب النانوية والمجاهر المستخدمة في رؤيتها
تصنيع وتخليق المواد النانوية
تطبيقات التقنية النانوية والحيوية النانوية
الرقائق والمتحسسات الحيوية
المصفوفات المجهرية وحاسوب الدنا
اللقاحات
البيئة والتلوث
علم الأجنة
اعضاء التكاثر وتشكل الاعراس
الاخصاب
التشطر
العصيبة وتشكل الجسيدات
تشكل اللواحق الجنينية
تكون المعيدة وظهور الطبقات الجنينية
مقدمة لعلم الاجنة
الأحياء الجزيئي
مواضيع عامة في الاحياء الجزيئي
علم وظائف الأعضاء
الغدد
مواضيع عامة في الغدد
الغدد الصم و هرموناتها
الجسم تحت السريري
الغدة النخامية
الغدة الكظرية
الغدة التناسلية
الغدة الدرقية والجار الدرقية
الغدة البنكرياسية
الغدة الصنوبرية
مواضيع عامة في علم وظائف الاعضاء
الخلية الحيوانية
الجهاز العصبي
أعضاء الحس
الجهاز العضلي
السوائل الجسمية
الجهاز الدوري والليمف
الجهاز التنفسي
الجهاز الهضمي
الجهاز البولي
المضادات الميكروبية
مواضيع عامة في المضادات الميكروبية
مضادات البكتيريا
مضادات الفطريات
مضادات الطفيليات
مضادات الفايروسات
علم الخلية
الوراثة
الأحياء العامة
المناعة
التحليلات المرضية
الكيمياء الحيوية
مواضيع متنوعة أخرى
الانزيمات
Embryonal Connective Tissue-Gelatinous or Mucous Tissue
المؤلف:
Kuehnel, W
المصدر:
Color Atlas of Cytology, Histology, and Microscopic Anatomy
الجزء والصفحة:
9-1-2017
3444
Embryonal Connective Tissue-Gelatinous or Mucous Tissue
This complete section across a mature human umbilical cord reveals at its surface a covering with a single-layered amnion epithelium. Inside, the umbilical cord is filled with a gelatinous or mucous connective tissue, named Wharton’s jelly. Embedded in this gelatinous tissue are the umbilical vein (right) and the two umbilical arteries (left). A section through the remnant of the allantoid canal is seen in the center. The vessels in the umbilical cord are always strongly contracted after birth. The specific gelatinous connective tissue consists of a wide-meshed network of long, stretched fibrocytes with many interconnecting cell processes.
Stain: azan; magnification: × 12
Embryonal Connective Tissue—Gelatinous or Mucous Tissue
Gelatinous connective tissue exists in the skin of embryos and, particularly well defined, as Wharton’s jelly in the umbilical cord. The cells of the gelatinous tissue are flattened fibroblasts and fibrocytes with branched cell processes, which interconnect and form a wide-meshed network . Light microscopy shows that the interstices are filled with a homogeneous gelatinous ground substance with embedded densely inter woven bundles of reticular and collagen f ibers. When boiled, these fibers yield glue. The nuclei are stained red. The ground substance mostly consists of nonsulfatized glycosaminoglycans.
a) Umbilical cord of a 5-month-old fetus
b) Umbilical cord of a newborn
Stain: picro-Sirius red-lithium carmine; magnification: × 100
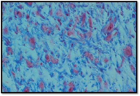
Embryonal Connective T issue—Gelatinous or Mucous Tissue
The embryonal connective tissue (gelatinous tissue, Wharton’s jelly) froma mature human umbilical cord contains connective tissue cells (fibroblasts, fibrocytes) and a homogeneous gelatinous or gel-like ground substance, which holds the collagen fibers. The fibers run in all directions in this space and consequently, they are cut in all planes, across, lengthwise or tangentially. The prevailing ground substances in the gelatinous tissue are amorphous ground substances, which are pre dominantly nonsulfatized glycosaminoglycans.
Stain: azan; magnification: × 400
References
Kuehnel, W.(2003). Color Atlas of Cytology, Histology, and Microscopic Anatomy. 4th edition . Institute of Anatomy Universitätzu Luebeck Luebeck, Germany . Thieme Stuttgart · New York .
الاكثر قراءة في علم الخلية
اخر الاخبار
اخبار العتبة العباسية المقدسة

الآخبار الصحية
